All-in-One Fluorescence Microscope Advances Organoid-Related Research

Anhui Luohua Biotechnology Co., Ltd. (Luohua Biotech) was founded in May 2019 and is committed to advancing organoid and organ-on-a-chip technologies. Its work spans new drug development, regenerative medicine, cell engineering, personalized medicine, and disease modeling, offering international-level products and technical services.

The company’s core expertise lies in tumor organoid and organ-on-a-chip–based drug screening technologies, which are widely applied in precision oncology, in vitro disease modeling, and new drug discovery. In addition to its research, Luohua Biotech has independently developed a range of specialized instruments and reagents, including multi-species organ culture media, live-cell workstations, intelligent cell transfer boxes, and ultra-low adhesion culture plates, providing customers with one-stop organoid and organ-on-a-chip solutions.

Organoids: A Key Tool for Drug Discovery and Pathological Research

Organoids, often referred to as “mini-organs,” are 3D cell culture systems that replicate the composition, morphology, and functionality of human tissues. Compared with traditional 2D cell cultures, organoids retain the traits of cells in vivo and can be stably cultured for long periods.

Conventional 2D cultures, in which cells grow along the bottom of a dish, gradually lose their physiological characteristics over time. Animal experiments, though physiologically relevant, are influenced by complex systemic factors, making it difficult to isolate specific processes. By contrast, organoids, grown on multiporous, nanofiber, or hydrogel scaffolds with added hormones and growth factors, can differentiate and mimic organ-level functions. This makes them invaluable for precision medicine, drug screening, and basic disease research.

Luohua Biotech: A Leading Enterprise in Organoid Research in China

Figure 1: Brain organoid containing neural progenitor cells and neurons (Imaged with the BZ Series)

Figure 1: Brain organoid containing neural progenitor cells and neurons (Imaged with the BZ Series)

Note: Compared to iPSCs, brain organoids show upregulated expression of neural progenitor cell marker genes PAX6 and TBR2, and neuronal cell marker genes TBR1, CTIP2, MAP2, and TUJ1.

Over the past five years, Luohua Biotech has invested more than 10 million yuan in developing core organoid and organ-on-a-chip technologies. It has successfully established culture systems for multiple human organoids and tumor organoids and has completed drug sensitivity testing and pathological analysis for nearly 10,000 cancer patients.
Highlights include:
Tumor organoid models for more than 10 cancers, including pancreatic, gastric, colorectal, breast, ovarian, endometrial, cervical, prostate, bladder, and glioma.
Normal tissue organoid models for breast, stomach, liver, brain, kidney, and more, with a 98% effective sample success rate.
Development of iPSC-derived special media and human brain organoid differentiation kits.
Organ-on-a-chip systems for liver, lung, tumor, intestine, kidney, nerve, and vasculature, with successful disease models such as IgA nephropathy, liver fibrosis, NAFLD, pulmonary fibrosis, lupus nephropathy, hypertensive nephropathy, and hyperuricemia.
Creation of a vascularized skin chip with superior functional performance compared to other clinical skin equivalents, enabling cosmetic testing without animal models.
Development of hair follicle organoids for researching hair loss prevention and regeneration therapies.
Luohua Biotech has also made progress in high-throughput organ chips and intelligent multi-organ chip culture systems, with four products already registered as Class I medical devices with the National Medical Products Administration.
Looking ahead, the company aims to address challenges such as vascularization, construction of systematic organoid models, stable use of human embryonic stem cells, and realistic simulation of the human microenvironment. By integrating AI, multi-omics, gene editing, and library screening technologies, Luohua Biotech seeks to accelerate drug development and reduce costs while creating broader application scenarios for organoid research.

The BZ Series: Enhancing Organoid Research Efficiency

According to Dr. Wang, Director of Luohua Biotech, the decision to adopt the KEYENCE BZ Series All-in-One Fluorescence Microscope was based on its user-friendly interface, powerful imaging functions, and reliable after-sales support.
“Even beginners can quickly master fluorescence and brightfield imaging with the BZ Series,” Dr. Wang noted. “Its comprehensive functions solve common imaging challenges, improve experimental efficiency, and indirectly boost our company’s overall productivity.”
Experimenter Cui Shuangshuang, who manages fluorescence imaging at Luohua Biotech, added:
Since its purchase in February 2023, the BZ Series has been used heavily due to its simplicity and efficiency.
Unlike traditional fluorescence microscopes, it does not require a darkroom, saving laboratory space.
Multi-channel imaging, image stitching, and Z-stack layering enable clear, three-dimensional images that enhance analysis.
Batch analysis functions streamline data processing, making results clearer, richer, and more reproducible.

Figure 2: A KEYENCE technical specialist resolving an imaging issue on-site

Figure 2: A KEYENCE technical specialist resolving an imaging issue on-site

Get detailed information on our products by downloading our catalog.

View Catalog BZ-X1000 Series All-in-One Fluorescence Microscope Catalog

Advantages of the BZ Series in Organoid Research

Organoid experiments require flexible imaging solutions at different stages, and the BZ Series integrates the capabilities of fluorescence microscopy, brightfield/phase-contrast microscopy, confocal imaging, high-content analysis, scanning, and live-cell imaging. Its modular design allows functions to be added as research needs evolve.

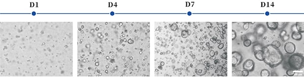
Figure 3: Culture process of a gastric cancer organoid

Figure 3: Culture process of a gastric cancer organoid

1. Organoid Culture Stage

Long-term monitoring is essential to observe organoid formation.
With an external incubation support system, the BZ Series enables time-lapse imaging during culture.
Its automated system tracks focus in real time, ensuring sharp images even as organoids grow and change shape.
Multiple positions and magnifications can be imaged in a single experimental cycle, increasing throughput and enabling time-series analysis.

2. Organoid Imaging

Mature organoids have considerable thickness, and conventional imaging often suffers from out-of-focus light.
The BZ Series employs a grating confocal system to eliminate stray light and improve signal localization.
Its anti-photobleaching system automatically switches off excitation light when not in use, protecting samples and preserving signal integrity.

Figure 4: Macrophages on a nanomaterial

Figure 4: Macrophages on a nanomaterial

Through the adoption of the BZ Series Fluorescence Microscope, Luohua Biotech has enhanced its organoid research capabilities, from culture monitoring to imaging and analysis. The system’s ease of use, high-quality imaging, and automation features have significantly improved research efficiency and experimental outcomes, supporting the company’s mission to push the boundaries of organoid and organ-on-a-chip technologies.